
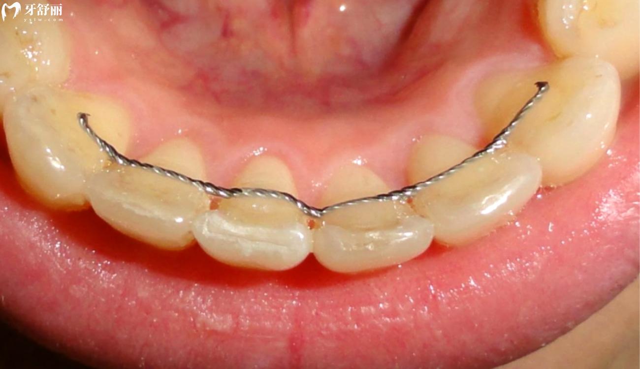
保持器一 天不戴就紧紧的是什么原因?如果刚结束牙齿矫正,保持器是一定要按时佩戴的,因为取下矫正器后,牙齿在新的位置上的位置还没有完全稳定,所以一 天不带保持器就紧紧的了。不想带了怎么办?保持器是一定要坚持佩戴,必须早晚坚持佩戴,以免出现牙齿反弹。
![]()
保持器一 天不戴就紧紧的是什么原因
保持器的功效可以巩固牙齿矫正,使牙齿矫正之后回归到正常的位置,在牙齿做完矫正之后取下牙套,如果不佩戴保持器的话慢慢的牙齿会回到原来的位置。
佩戴保持器够预防牙齿回归到错误的位置,如果出现一 天不戴就紧紧的情况,那是因为牙齿做完矫正后,牙齿还是会出现一定的反弹,所以您一 天不戴的话,牙齿就会稍微有一些移动,导致重新佩戴保持器的时候就感觉有些紧,这是很正常的。
![]()
保持器不想带了怎么办
保持器的作用是防止矫正后的牙齿出现反弹,一般是需要佩戴保持器一到两年的时间的,不想佩戴保持器是不行的。
佩戴保持器能够使牙齿在新的牙槽骨中稳定下来,将牙套取出之后一定要到正规的医院,通过佩戴保持器的方式矫正牙齿,防止整牙之后出现反弹。
![]()
保持器正确佩戴时间
保持器一般需要佩戴一年到两年时间,具体还需要根据患者牙齿具体情况来作出判断。在刚开始佩戴保持器的时候建议是全天佩戴,随着时间的推移可以开始慢慢减少佩戴时间。
如果牙齿畸形情况复杂,需要佩戴保持器的时间也会更久,可能需要两年甚至两年半,而牙齿畸形程度较轻,一般戴一年多就可以了。
![]()
具体的佩戴时间和佩戴频率是要根据牙齿的稳定情况和医生建议来综合判断。所以矫正后也要定期到医院进行复查。
复查频率保持在每隔3到6个月左右要复查一次。
保持器正确佩戴方法
●戴保持器时,将保持器放入口内,先找对位置,然后用食指将其压入就位。
●保持器每天可用牙刷与牙膏进行清洁保持器,不要用热水进行清洗,以免导致变形。
![]()
如果保持器变松了或者坏了,一定要及时就医更换新的保持器,以免导致牙齿反弹。也要养成好的口腔卫生习惯,吃饭时取下保持器,饭后漱口。
同城医院
更多2025-10-29 14:29:40
台州市台州湾新区海虹街道市府大道东段2号景和商务大厦1楼108室、2楼
2025-10-29 14:19:02
台州市仙居县福应街道城北东路81号
2025-10-29 14:05:46
杭州市西湖区蒋村街道余杭塘路1001号花蒋天街商业中心2幢402室
2025-10-29 11:54:14
新疆乌鲁木齐市沙依巴克区克拉玛依东街201号1栋7层
2025-10-29 11:18:59
大连西岗区新开路68号中投大厦(市政府后身,金广大厦对面)
同城医生
更多同城优惠
更多2026年成都圣贝牙科十四周年庆活动!实力宠粉种植牙1380+金属自锁8900+基础项目8.8折
2025-10-16 10:33:33
2025西宁非凡口腔暑期正畸优惠指南:价格直降+抽奖福利(附新价目表)
2025-06-12 14:24:51
重庆泰康拜博口腔种植活动盛大开启!优惠多多名额有限,速约!
2025-02-20 14:14:21
昆明柏德口腔新春豪礼!到院领米+油|种植享半价|矫正立减500等优惠享不停
2025-01-15 11:51:10
遵义桐梓县蟠龙口腔年终活动已推出:种牙1980元一颗!积分换好礼项目优惠多
2024-12-09 14:35:17
同城报价
更多2026梅州万国口腔收费标准:正规医院种植牙价格表1380+矫正6000+口碑好
2025-10-29 17:49:36
全新诸暨佳兴口腔价格表:get种植牙矫正拔牙补牙烤瓷牙收费标准不贵
2025-10-29 17:07:42
2026年上海松丰齿科收费高吗多少钱?进口植体1275+全口义齿8795+收费不高很透明
2025-10-29 17:03:10
超全宁波拜博口腔医院价格表更新:种植牙1580+矫正6800+各项目收费标准get
2025-10-29 16:00:10
马鞍山红群口腔2025价格表:种植牙2900元起,矫正6800元起
2025-10-29 15:44:16
同城问答
更多牙博士口腔医院靠谱吗?收费贵吗?是正规医院吗?
在选择口腔医院时,很多朋友都会问到这样的问题:牙博士口腔医院靠谱吗?收费贵不贵?到底是不是正规医院?毕竟种牙、矫正、修复等项目 <
宁波牙博士口腔医院是几级医院?可以刷医保卡吗?
在宁波这座充满活力的城市里,口腔健康问题日益受到市民的重视。无论是年轻人因工作压力导致的牙周问题,还是中老年人因年龄增长出现的牙齿 <
中诺口腔是莆田系吗?是什么档次的医院?
不少牙友在后台留言问:中诺口腔是莆田系吗?、中诺口腔是什么档次的医院?这两个问题确实挺多人关心。毕竟现在各地的口腔机构多如 <
成都西南口腔医院是公立还是私立?
在成都这座医疗资源丰富的城市中,口腔健康已成为市民关注的重点领域。面对众多口腔医疗机构的选择,患者常提出的疑问之一便是成都西南口 <
重庆牙博士口腔医院总院在哪?有几家门店?
不少重庆朋友看牙时,都会关注重庆牙博士口腔医院怎么样,尤其想了解医院地址和营业时间。下面就围绕这些核心问题,分板块详细说明,帮 <
