
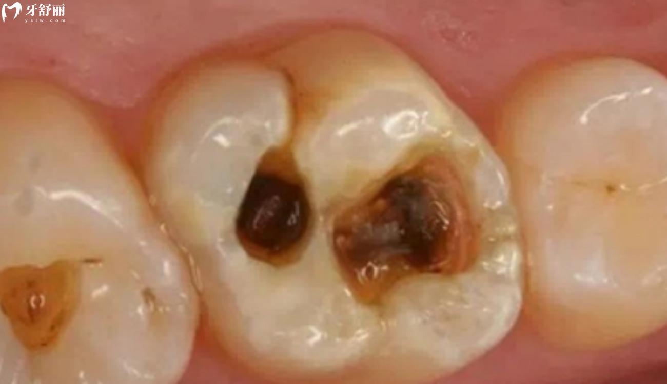
牙齿坏了一半里面都空了怎么办?补牙能治好吗?牙齿坏了一半里面都空了这样的情况可以到医院进行详细的检查,看看牙齿具体的情况,可以根据情况选择补牙、拔牙等处理方式。至于说补牙能不能治好?就要看牙齿的检查情况了,在平时我们要能够定期进行口腔检查,有问题及时发现,就是预防这样的情况发生。
![]()
1、牙齿坏了一半里面都空了怎么办
一般是有两种方法,补牙和拔牙,是根据牙齿的情况来判断如何处理。
如果检查之后可以进行补牙治疗,这说明检查结果还是比较不错的额,牙齿虽然坏了里面都空了,但是牙根比较的完整,有保留的价值,通常可以通过根管治疗以后,用树脂材料补牙的方式改善,在补完牙齿之后可以做上烤瓷冠或者是全瓷冠保护牙齿。
![]()
接下来说拔牙,通常这种情况就是牙齿损坏程度高,没有保留的价值,这个时候就需要进行拔除了。通常拔除牙齿后可进行安装义齿或者做种植牙,拔掉的牙齿长期缺牙不仅影响美观,还会导致牙龈萎缩,牙槽骨流失,邻牙也会松动脱落的。
2、补牙后应该注意什么
补牙以后牙齿会有些敏感,在补完牙以后数天或数周患牙都会有轻微的冷热刺激敏感,多为正常的术后反应,一般随着时间的推移可以自行缓解,不要过于担心。
![]()
补牙以后如果感觉到自发性疼痛、咬合疼痛或者冷热刺激长期不缓解的情况,就要到医院进行进一步的检查了。
如果是牙齿坏了一半里面都空了的情况,属于龋坏程度较高的大面积的缺损的患牙,牙体修复后往往由于牙体组织抗力不足,在咀嚼时容易发生劈裂。所以要及时的做冠修复,防止牙齿劈裂。
![]()
龋齿一般都是不注意口腔清洁所造成的,在补完牙之后要注意口腔卫生,要好好刷牙,使用牙线等辅助工具,按时复查牙齿情况。
还有就是补完牙齿要注意调整饮食,不要吃凉、过热、**的食物,以减少对牙齿的刺激。牙齿坏了一半里面都空了这种情况不要过于担心,只要检查之后牙根是完好的,就不要轻易地拔牙。
![]()
如果只能进行拔牙处理,也不要过于担心,及时进行种植牙或者义齿修复都是比较不错的选择,种植牙美观舒适,使用起来和真牙没有区别。
同城医院
更多2025-10-29 14:29:40
台州市台州湾新区海虹街道市府大道东段2号景和商务大厦1楼108室、2楼
2025-10-29 14:19:02
台州市仙居县福应街道城北东路81号
2025-10-29 14:05:46
杭州市西湖区蒋村街道余杭塘路1001号花蒋天街商业中心2幢402室
2025-10-29 11:54:14
新疆乌鲁木齐市沙依巴克区克拉玛依东街201号1栋7层
2025-10-29 11:18:59
大连西岗区新开路68号中投大厦(市政府后身,金广大厦对面)
同城医生
更多同城优惠
更多2026年成都圣贝牙科十四周年庆活动!实力宠粉种植牙1380+金属自锁8900+基础项目8.8折
2025-10-16 10:33:33
2025西宁非凡口腔暑期正畸优惠指南:价格直降+抽奖福利(附新价目表)
2025-06-12 14:24:51
重庆泰康拜博口腔种植活动盛大开启!优惠多多名额有限,速约!
2025-02-20 14:14:21
昆明柏德口腔新春豪礼!到院领米+油|种植享半价|矫正立减500等优惠享不停
2025-01-15 11:51:10
遵义桐梓县蟠龙口腔年终活动已推出:种牙1980元一颗!积分换好礼项目优惠多
2024-12-09 14:35:17
同城报价
更多2026梅州万国口腔收费标准:正规医院种植牙价格表1380+矫正6000+口碑好
2025-10-29 17:49:36
全新诸暨佳兴口腔价格表:get种植牙矫正拔牙补牙烤瓷牙收费标准不贵
2025-10-29 17:07:42
2026年上海松丰齿科收费高吗多少钱?进口植体1275+全口义齿8795+收费不高很透明
2025-10-29 17:03:10
超全宁波拜博口腔医院价格表更新:种植牙1580+矫正6800+各项目收费标准get
2025-10-29 16:00:10
马鞍山红群口腔2025价格表:种植牙2900元起,矫正6800元起
2025-10-29 15:44:16
同城问答
更多牙博士口腔医院靠谱吗?收费贵吗?是正规医院吗?
在选择口腔医院时,很多朋友都会问到这样的问题:牙博士口腔医院靠谱吗?收费贵不贵?到底是不是正规医院?毕竟种牙、矫正、修复等项目 <
宁波牙博士口腔医院是几级医院?可以刷医保卡吗?
在宁波这座充满活力的城市里,口腔健康问题日益受到市民的重视。无论是年轻人因工作压力导致的牙周问题,还是中老年人因年龄增长出现的牙齿 <
中诺口腔是莆田系吗?是什么档次的医院?
不少牙友在后台留言问:中诺口腔是莆田系吗?、中诺口腔是什么档次的医院?这两个问题确实挺多人关心。毕竟现在各地的口腔机构多如 <
成都西南口腔医院是公立还是私立?
在成都这座医疗资源丰富的城市中,口腔健康已成为市民关注的重点领域。面对众多口腔医疗机构的选择,患者常提出的疑问之一便是成都西南口 <
重庆牙博士口腔医院总院在哪?有几家门店?
不少重庆朋友看牙时,都会关注重庆牙博士口腔医院怎么样,尤其想了解医院地址和营业时间。下面就围绕这些核心问题,分板块详细说明,帮 <
