
一般去牙科看牙前都是需要拍牙片进行检查后再决定怎么治疗。各种各样的牙片怎么看,万一有的不正规牙科医院会不按照牙片看牙坑人怎么办?本篇就来教你简单几步看牙片。
![]()
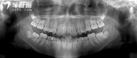
牙科中比较常见的牙片种类一般有小牙片、全景片和侧位片等,其中能够直观看到牙齿问题更多的就是口腔全景片。
口腔全景片中可以拍到全部的牙齿、牙龈牙周以及上下颌骨到鼻腔的位置。因此可以由全景片诊断出关于蛀牙、智齿、牙槽骨是否被吸收等情况。也就是说在拔智齿、做牙齿矫正和种植牙等牙科项目前是必须要拍的。
根据全景片如何判断有没有智齿?
一般成年人的牙齿有28颗,有的会多出来四颗智齿。所以可以从数量上来判断牙齿的数量是否多出28颗,进一步判断长在那个位置的话,可以从中线将上下两排牙分成是个区域,比如上左排牙从门牙开始说,多出七颗的就是智齿,其他三个区域同理。就能找到那几颗牙是智齿了。
![]()
根据全景片如何判断有没有蛀牙?
有的牙齿在表面上是小黑点其实内部已经龋坏不少了,但是光靠肉眼是看不出来的,所以需要经过x光照射成像判断牙齿内部的龋坏情况。
一般的牙齿是灰色的,下部中间有条黑线那是牙髓腔,如果是牙冠的位置有黑色阴影而且较为明显的话那就是龋齿的范围了。如果是已经修补过的牙齿能在全景片中清晰看出修补材料的痕迹。
全景片还可以观察牙周情况,比如牙齿之间的缝隙大而且是黑色的,牙体看起来长一般的情况下可能患有牙周病,因为牙龈已经开始萎缩,牙槽骨被吸收所以牙齿慢慢开始裸露。因此可以看整体的口腔条件是否适合做种植牙手术,
![]()
做完种植牙手术也可以通过全景片观察植体的位置,人工牙根在全景片中还是相当明显的,一般是锥形或者是柱形的白色影像。
以上就是关于全景片的基础认识了,自己查看全景片只是辅助,毕竟患者是业余的。还是建议去正规的牙科机构拍摄看牙更靠谱哦。
以上就是关于问题的相关问题解答了,有没有解决你想了解的问题呢?还想了解更多的牙科小知识,可以直接在网上搜索牙舒丽哦。还可以在下方,快速了解你附近的正规实惠牙科哦。
同城医院
更多2025-10-29 14:29:40
台州市台州湾新区海虹街道市府大道东段2号景和商务大厦1楼108室、2楼
2025-10-29 14:19:02
台州市仙居县福应街道城北东路81号
2025-10-29 14:05:46
杭州市西湖区蒋村街道余杭塘路1001号花蒋天街商业中心2幢402室
2025-10-29 11:54:14
新疆乌鲁木齐市沙依巴克区克拉玛依东街201号1栋7层
2025-10-29 11:18:59
大连西岗区新开路68号中投大厦(市政府后身,金广大厦对面)
同城医生
更多同城优惠
更多2026年成都圣贝牙科十四周年庆活动!实力宠粉种植牙1380+金属自锁8900+基础项目8.8折
2025-10-16 10:33:33
2025西宁非凡口腔暑期正畸优惠指南:价格直降+抽奖福利(附新价目表)
2025-06-12 14:24:51
重庆泰康拜博口腔种植活动盛大开启!优惠多多名额有限,速约!
2025-02-20 14:14:21
昆明柏德口腔新春豪礼!到院领米+油|种植享半价|矫正立减500等优惠享不停
2025-01-15 11:51:10
遵义桐梓县蟠龙口腔年终活动已推出:种牙1980元一颗!积分换好礼项目优惠多
2024-12-09 14:35:17
同城报价
更多2026梅州万国口腔收费标准:正规医院种植牙价格表1380+矫正6000+口碑好
2025-10-29 17:49:36
全新诸暨佳兴口腔价格表:get种植牙矫正拔牙补牙烤瓷牙收费标准不贵
2025-10-29 17:07:42
2026年上海松丰齿科收费高吗多少钱?进口植体1275+全口义齿8795+收费不高很透明
2025-10-29 17:03:10
超全宁波拜博口腔医院价格表更新:种植牙1580+矫正6800+各项目收费标准get
2025-10-29 16:00:10
马鞍山红群口腔2025价格表:种植牙2900元起,矫正6800元起
2025-10-29 15:44:16
同城问答
更多牙博士口腔医院靠谱吗?收费贵吗?是正规医院吗?
在选择口腔医院时,很多朋友都会问到这样的问题:牙博士口腔医院靠谱吗?收费贵不贵?到底是不是正规医院?毕竟种牙、矫正、修复等项目 <
宁波牙博士口腔医院是几级医院?可以刷医保卡吗?
在宁波这座充满活力的城市里,口腔健康问题日益受到市民的重视。无论是年轻人因工作压力导致的牙周问题,还是中老年人因年龄增长出现的牙齿 <
中诺口腔是莆田系吗?是什么档次的医院?
不少牙友在后台留言问:中诺口腔是莆田系吗?、中诺口腔是什么档次的医院?这两个问题确实挺多人关心。毕竟现在各地的口腔机构多如 <
成都西南口腔医院是公立还是私立?
在成都这座医疗资源丰富的城市中,口腔健康已成为市民关注的重点领域。面对众多口腔医疗机构的选择,患者常提出的疑问之一便是成都西南口 <
重庆牙博士口腔医院总院在哪?有几家门店?
不少重庆朋友看牙时,都会关注重庆牙博士口腔医院怎么样,尤其想了解医院地址和营业时间。下面就围绕这些核心问题,分板块详细说明,帮 <
