
怎么看婴儿是否龅牙?看孩子是否有龅牙的话可以从这两个方向来看,一个是临床表现,因为龅牙的临床表现是比较明显,我们可以简单的做一个初步的判断。是在看不出来的话可以去医院进行辅助的检查,通过比较婴儿的X射线测量值与正常参考值,可以区分骨畸形、牙齿畸形,确认婴儿是否存在龅牙。那怎样预防宝宝龅牙呢?
![]()
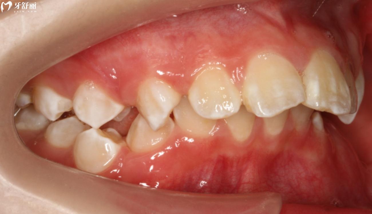
怎么看婴儿是否龅牙
龅牙的临床表现是比较明显的,那怎么看婴儿是否有龅牙呢?龅牙的婴儿会有上、下门牙,或是上颌骨向前突出的现象。
当婴儿处于放松的状态时,能有上下嘴唇无法自然闭合的现象。部分龅牙婴儿的牙龈,可能会在微笑时有过多露出,从正面看过去,龅牙婴儿的嘴唇会轻微张开,牙齿出现外露现象,且鼻唇沟可能较深。从侧面看,婴儿面部轮廓线在唇部会向前突出。
![]()
怎样预防宝宝龅牙
其实龅牙的产生除了少部分的先天因素,大部分都是孩子不良的习惯所导致的怎么样预防宝宝龅牙?是每一位宝妈所需要的注意的。
喂奶方式
在平时给婴儿喂奶的时候,不要平躺着喂奶,奶瓶与孩子的嘴之间适当的角度就是45度,假如家长把奶瓶举得太低的话,宝宝老是会习惯用上牙含着奶嘴,长时间下去只会让孩子的上牙发育的越快,进而变成龅牙。
在孩子睡着的时候,及时把奶瓶从孩子嘴里拿出来,在孩子一岁以后应减少使用奶瓶的频率,两岁以后就不要在用奶瓶了。
![]()
孩子的不良习惯
如果孩子有吃手指、吸口唇、舔牙齿、张口呼吸等情况,要及时的纠正,不然长此以往会让孩子的牙齿出现畸形,龅牙等情况。
![]()
锻炼孩子的咀嚼功能
在平时应给孩子吃一些蔬菜和新鲜水果等纤维含量高、营养丰富的食物,有利于牙齿的自洁,不易患龋病,且能促进口腔颌面的生长发育,促使牙齿排列整齐。
还有要注意孩子的咀嚼方式,要注意两侧平均咀嚼,不要偏侧咀嚼。
不要让孩子经常吃一些过于软烂的食物,如果发现孩子已经出现了龅牙的症状,上牙比下牙明显凸出来,可以带孩子去医院进行详细的检查,听取医生的意见进行治疗改善。
![]()
尤其在孩子换乳牙、长恒牙的阶段必须给他一定的足够的功能刺激,才会促进颌骨正常的发育。
同城医院
更多2025-10-29 14:05:46
杭州市西湖区蒋村街道余杭塘路1001号花蒋天街商业中心2幢402室
2025-10-29 11:54:14
新疆乌鲁木齐市沙依巴克区克拉玛依东街201号1栋7层
2025-10-29 11:18:59
大连西岗区新开路68号中投大厦(市政府后身,金广大厦对面)
2025-10-28 14:20:38
滨江区浦沿街道滨盛路3867号宝龙城3幢501-1室
2025-10-28 13:48:19
防城港市港口区行政中心区金花茶大道78号三生云海官邸商住楼1层102号商铺
同城医生
更多同城优惠
更多2026年成都圣贝牙科十四周年庆活动!实力宠粉种植牙1380+金属自锁8900+基础项目8.8折
2025-10-16 10:33:33
2025西宁非凡口腔暑期正畸优惠指南:价格直降+抽奖福利(附新价目表)
2025-06-12 14:24:51
重庆泰康拜博口腔种植活动盛大开启!优惠多多名额有限,速约!
2025-02-20 14:14:21
昆明柏德口腔新春豪礼!到院领米+油|种植享半价|矫正立减500等优惠享不停
2025-01-15 11:51:10
遵义桐梓县蟠龙口腔年终活动已推出:种牙1980元一颗!积分换好礼项目优惠多
2024-12-09 14:35:17
同城报价
更多海宁牙博士口腔医院收费怎么样高吗?2026价格表:韩系种植牙2780+自锁8700+镶牙/拔牙也不贵
2025-10-29 14:07:58
新版乌鲁木齐于氏天使口腔价格表全:种植牙1800+正畸矫正9800+收费不高不贵
2025-10-29 13:51:14
25-26版可恩口腔收费价目表:包含青岛/济南/衡水/上海等分院
2025-10-29 11:59:21
云南大理金莱雅口腔收费标准查询:儿童涂氟30+树脂补牙200+性价比高
2025-10-29 11:37:58
池州康诺口腔收费价格表更新:看完发现种牙洗牙补牙整牙都不贵很透明
2025-10-29 11:28:53
同城问答
更多中诺口腔是莆田系吗?是什么档次的医院?
不少牙友在后台留言问:中诺口腔是莆田系吗?、中诺口腔是什么档次的医院?这两个问题确实挺多人关心。毕竟现在各地的口腔机构多如 <
成都西南口腔医院是公立还是私立?
在成都这座医疗资源丰富的城市中,口腔健康已成为市民关注的重点领域。面对众多口腔医疗机构的选择,患者常提出的疑问之一便是成都西南口 <
重庆牙博士口腔医院总院在哪?有几家门店?
不少重庆朋友看牙时,都会关注重庆牙博士口腔医院怎么样,尤其想了解医院地址和营业时间。下面就围绕这些核心问题,分板块详细说明,帮 <
深圳世纪河山口腔是连锁店吗?都有哪些分院呢?
世纪河山口腔可是宝安区 "老网红 "连锁机构了!20年老牌诊所,15家分店遍布宝安,种牙矫正性价比过高,健保还能报销!今天带大家扒光所有分店地址和交通路线,看完直接冲近的门店。<
广州广大口腔医院是三甲吗还是几级医院?
随着口腔健康意识的提升,越来越多的市民开始关注口腔医院的资质和级别,尤其是涉及种植牙、牙齿矫正、口腔外科手术等高难度项目时。很多人 <
