你每天都在勤勤恳恳的认真刷牙,总有照顾不到的地方,不过每隔一年半载给口腔做个大扫除,洗洗牙齿更健康。
过年前你打算洗牙吗?在郑州不知道选择哪家牙科洗牙,正好,郑州二七区盛禾口腔超声波洗牙搞活动,398元家庭口腔洁牙套餐任你盘!
![]()
398元家庭口腔洁牙套餐包含哪些项目呢,随我一起来看看吧!
数量有限,先到先得,2名成人+2名儿童
| 3年内不限次数,超声波洗牙 | 牙齿问题,预防大于治疗,洗牙是好的预防,能有效预防各种口腔疾病的发生,给我们的牙齿健康和全身健康带来好处。 |
| 3年内不限次数,口腔检查 | 定期检查就可以早发现、早诊断、早处理 |
| 3年内不限次数,氟化物防龋 | 使用氟化钠护齿剂涂抹牙齿,可以有效降低龋齿的形成,但家长、老师仍需提醒孩子少吃甜食,并帮助孩子掌握科学正确的刷牙方法哦,这样才能更有效地预防龋齿 |
| 3年内不限次数,CBCT拍片 |
![]()
本次这个洗牙活动比较划算,398元包含这么多的项目,真心划算,承包了你三年的洗牙!
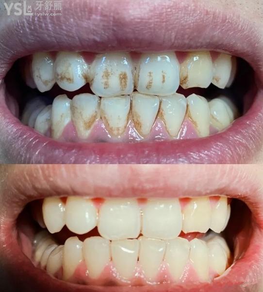
这是顾客做完洗牙之后的成效:
![]()
洗牙只会让你的牙齿更加的干净,同时在洗牙的过程中,牙医能发现牙齿的疾病,早点发现早点治疗,为了自己的牙齿,为了一辈子的口福,从洗牙开始吧!
同城医院
更多2025-11-19 17:23:40
绵阳市涪城区临园路西段25号王子大酒店裙楼一楼
2025-11-18 09:29:53
长春市二道区民丰大街亚泰樱花苑1栋112号
2025-11-17 18:30:46
锦州市德诺口腔
2025-11-17 15:39:16
大同市平城区北都街惠民西城A4-6商铺
2025-11-17 15:38:55
上海市静安区昌平路412号
同城医生
更多同城报价
更多【2026珠海种植牙价格表全解析】单颗/半口/全口真实报价!5家种牙人气牙科大公开
2025-11-19 16:00:53
快收好毕节花贝口腔门诊价格表!种植牙1480+牙齿矫正7000+镶牙冠300+
2025-11-19 15:22:12
2026年平南矫健口腔收费标准:有镶牙洗牙补牙种牙价格表一览
2025-11-19 16:17:33
德伦口腔收费贵吗(2026价目表一览)隐形牙套1.58万+韩系种植牙1111+智齿拔除380+
2025-11-19 14:11:29
淮安牙院仕口腔医院看牙贵吗?矫正8800+种牙1980+补牙180+等性价比不错
2025-11-19 14:32:12
同城问答
更多北京京一口腔医院是几级医院?
想了解北京京一口腔的等级信息?这里为您详细介绍相关情况,帮助您快速获取所需内容。<
牙齿矫正会让人中变长吗?
很多准备做矫正的朋友,都会被一个问题吓到:医生,我是不是做了牙齿矫正之后,人中会变长?脸会变丑?笑起来会奇怪?别急,这篇文章我 <
孩子牙齿蛀牙腐蚀怎么办 教大家几招给力的“打怪秘籍”
孩子牙齿蛀牙腐蚀是常见问题,本文介绍蛀牙的早期识别、家庭护理措施和预防方法,帮助家长保护孩子牙齿健康。<
天津中百口腔医院是公立的吗?是几级医院?
有牙友问:天津中百口腔医院是公 立的吗?是几级医院?其实,这个问题挺关键的,因为医院的性质和等级直接关系到大家看牙的体验和确保 <
贵阳柏德口腔医院是公立的还是私立的?
近后台收到不少私信,问贵阳柏德口腔医院到底是公 立还是私立?今天咱就掰开了揉碎了说清楚!贵阳柏德口腔医院是公 立的还是私立的? <
