
对于很多老年人来说,掉牙、缺牙几乎是无法避免的生理变化。到了60岁以后,牙齿松动脱落不仅影响吃饭,还会导致面部塌陷、说话不清、营养吸收差等问题。于是,做全口假牙成了不少老年人的优先选择。但老年人关心的莫过于两个问题——“全口假牙有哪些种类?”以及“全口假牙的价格大概是多少?”今天我们就来在线解答老年人全口假牙的种类及价格是多少,并告诉大家老人全口假牙装什么材质的更好,帮助你选得明白、戴得舒适、用得放心。
![]()
一、老年人全口假牙主要分为哪几种类型?
说到全口假牙,其实可以简单分为三大类:活动假牙、种植牙、全口固定式假牙(种植覆盖式)。不同类型的假牙在舒适度、稳固性和价格上差异较大,老年人要根据自身牙槽骨情况和经济预算来选。
1. 活动假牙(传统假牙)
这是多数老年人熟悉的假牙类型。制作周期短、价格实惠、取戴方便。
材质分类:主要有树脂基托假牙、金属托假牙、软性材料假牙等。
优点:性价比高,维护简单。
缺点:稳固性一般,容易摩擦牙龈,咀嚼力弱。
参考价格:单副全口树脂假牙一般在 1000-3500元左右,金属托假牙约 4000-6000元/副。
2. 种植牙(全口种植)
近年来越来越多老年人选择全口种植牙,它通过种植体“种”入牙槽骨,再固定上牙冠,稳固度接近真牙。
优点:咀嚼力强、外观自然、使用寿命长(10年以上)。
缺点:手术难度较高、价格偏贵。
参考价格:按种植体数量计算,一般半口约2万元起,全口约4万元起;进口种植系统价格可达10万以上。
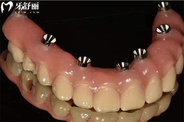
3. 种植覆盖义齿(半固定假牙)
介于活动假牙和全口种植牙之间,是目前非常流行的“性价比方案”。
特点:在牙槽骨中种入少量种植体(一般4~6颗),通过卡扣或磁吸连接假牙。
优点:比活动假牙稳固得多,咀嚼更有力;比全口种植便宜。
参考价格:一般在 2.5万~6万元/副。
![]()
二、老年人全口假牙价格是多少?一文看清费用差异
价格是老年人选择全口假牙时直接的考虑因素之一。不同假牙类型、材质、医院地区都会影响终费用。下面我们列出几种常见价格范围供参考:
| 假牙类型 | 材质 | 价格区间(全口) | 适用人群 |
|---|---|---|---|
| 树脂活动假牙 | 普通树脂 | 1000-3000元 | 预算有限的老人 |
| 金属托活动假牙 | 钛合金/镍铬合金 | 4000-6000元 | 追求耐用度的老人 |
| 软性假牙 | 弹性高分子材料 | 3000-5000元 | 牙龈敏感者 |
| 种植覆盖义齿 | 4-6颗种植体 | 25000-60000元 | 追求稳固又想省钱者 |
| 全口种植牙 | 种植体+牙冠 | 40000-100000元以上 | 骨量充足、预算充裕者 |
温馨提示:价格并不是独特标准,适合自己的方案才是关键。老年人做假牙前建议到正规口腔医院做全景片或CT检查,医生会根据牙槽骨萎缩情况、口腔健康状况来设计个性化方案。
![]()
三、老人全口假牙选什么材质好?
不少老年人担心选错材质“戴不舒服”,其实假牙材质的好坏决定了佩戴体验。下面是常见材质分析:
1. 树脂类假牙——经济实用型
树脂假牙价格便宜、重量轻,适合预算有限的老人。但硬度相对一般,使用几年后可能需要重新制作。
2. 钛合金金属托假牙——耐用舒适型
钛合金托盘轻、不生锈、不刺激牙龈,使用寿命比树脂更长。是很多60岁以上老人偏好的中高端选择。
3. 磁吸式假牙——稳固性更强
磁吸装置能牢牢固定假牙,不易松动,咀嚼更自然。但磁体长期使用可能失磁,需要定期复诊更换。
4. 种植牙冠材质——接近真牙
种植牙冠常用陶瓷或全瓷材料,颜色自然,强度高,不容易染色。对追求外观自然和咬合力强的老人非常合适。
![]()
四、老年人装全口假牙要注意什么?医生建议牢记
提前做齐全口腔检查:有牙周炎、糖尿病等情况要先控制疾病再修复。
选择正规医院和正规医生:尤其是做种植类假牙,对技术要求高。
佩戴初期要循序渐进:刚装好假牙时会有异物感,建议从吃软食开始。
定期复查、清洁假牙:每半年复诊一次,防止牙龈萎缩、假牙松动。
心理准备很重要:戴假牙不是“变年轻”的神奇魔法,但能极大改善生活质量。
五、老年人做全口假牙常见疑问解答
Q1:全口假牙能用医 保报销吗?
部分地区的医 保政策允许报销基础修复费用,尤其是活动假牙类项目。建议在就诊前向医院医 保定点情况和报销比例。
Q2:全口种植牙能用多久?
种植牙只要维护得好,使用10年以上没问题,部分患者甚至能用20年。
Q3:假牙掉了或磨损了怎么办?
如果是假牙部分断裂或松动,可以请医生重新修补或更换连接件,不建议自行粘合。
Q4:老年人牙槽骨吸收重还能种牙吗?
可以,通过骨粉植骨或采用即刻种植、All-on-4方案,大多数人仍能实现稳固修复。
六、总结:老年人全口假牙别盲选,选对方案关键
综上,老年人全口假牙的种类主要包括活动假牙、种植牙和覆盖义齿三类,价格从几千元到数万元不等。不同材质、技术各有优势,关键要看个人牙槽骨条件和经济预算。
对于预算有限的老人,传统活动假牙依然是不错选择;而追求稳固、美观、咀嚼力强的朋友,种植牙或覆盖义齿会更合适。在正式修复前,务必去正规口腔医院做检查,明确方案和报价,别轻信“低价速配”广告。
同城医院
更多2025-11-07 15:48:21
向阳区长安西路322号
2025-11-07 10:48:17
广东省深圳市罗湖区黄贝岭南街黄贝岭华侨新村
2025-11-06 17:17:53
郑和中路万鸿大唐时代(塞纳丽舍)东南侧约30米
2025-11-06 15:36:16
北京市丰台区马家堡路69号
2025-11-06 15:00:10
广州市天河区天河东路179号二楼商场
同城医生
更多同城优惠
更多2026年成都圣贝牙科十四周年庆活动!实力宠粉种植牙1380+金属自锁8900+基础项目8.8折
2025-10-16 10:33:33
2025西宁非凡口腔暑期正畸优惠指南:价格直降+抽奖福利(附新价目表)
2025-06-12 14:24:51
重庆泰康拜博口腔种植活动盛大开启!优惠多多名额有限,速约!
2025-02-20 14:14:21
昆明柏德口腔新春豪礼!到院领米+油|种植享半价|矫正立减500等优惠享不停
2025-01-15 11:51:10
遵义桐梓县蟠龙口腔年终活动已推出:种牙1980元一颗!积分换好礼项目优惠多
2024-12-09 14:35:17
同城报价
更多宁波北仑禾睦口腔医院收费价格一览:种植牙2980+看牙价格透明不坑人
2025-11-07 15:36:45
26年新徐州口腔医院价格收费:种植牙2680+牙齿矫正5600+有所下调
2025-11-07 15:17:46
天津中百口腔收费高吗?不高!二级口腔种植牙1678、吸附性义齿7500、补牙38元起
2025-11-07 14:53:00
广元德立口腔植牙价格表2026新版|单颗3980+半口2.5W+正规资质+技术特色全解析
2025-11-07 14:51:09
2026武汉咿呀口腔医院收费标准大全:拔智齿牙300+矫正5980+种植牙价格表2380+
2025-11-07 14:11:03
同城问答
更多郑州唯美口腔和植得口腔哪个好?
在郑州这座口腔医疗资源高地,想找靠谱的牙科医院,总绕不开两个名字唯美口腔和植得口腔。这两家都是本地连锁品牌,口碑稳坐靠前梯 <
杭州艺星口腔医院种植牙技术怎么样,好不好?
牙口好,胃口才好,这句老话道出了牙齿健康的重要性。可生活中,总有人因意外、牙周病等问题面临缺牙困扰,不仅影响吃饭,连笑容都变得 <
北京维尔口腔医院是医保定点医院吗?
近不少朋友在后台私信问:北京维尔口腔医院是不是医 保定点医院?这家医院正规吗?靠谱吗?口碑怎么样?作为口腔医疗行业的 <
北京海淀区口腔医院哪家好又便宜?
牙疼不是病,疼起来真要命!可在北京海淀,找一家既靠谱又不会让钱包大出血的口腔医院,常常让人犯难:公 立医院号难抢,私立诊所怕踩 <
金华莱蒽口腔医院是私立还是公立?
近想带爸妈看牙,刷到金华莱蒽口腔的广告,但总有人问它是公 立还是私立?相信不少朋友在选口腔医院时都有过类似困惑。毕竟,公 立医 <
